Răng cửa bị nghiêng làm cho bạn kém tự tin khi cười, khó khăn khi ăn nhai? Bạn muốn tìm một giải pháp để cải thiện tình trạng này hoàn toàn mà không biết nên lựa chọn phương pháp nào? Hãy cùng nghe chuyên gia với 30 năm kinh nghiệm tư vấn tình trạng này.
Răng cửa bị nghiêng gây ảnh hưởng gì?
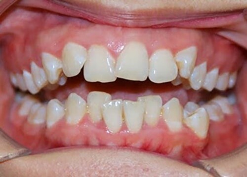
Răng cửa bị nghiêng là tình trạng 2 răng không thẳng hàng với nhau và lại vị lệch sang một bên. Vấn đề này bằng mắt thường bạn đã có thể nhìn thấy. Khi tình trạng này kéo dài nó sẽ làm cho bạn những hậu quả như sau:
- Mất thẩm mỹ: 2 chiếc răng cửa bị lệch lạc sẽ làm cho bạn cảm thấy thiếu tự tin, nụ cười vì vậy mà không được tự nhiên
- Khả năng ăn nhai giảm: Khi khớp cắn của răng cửa không đều nhau thì việc cắn, xé thức ăn trong việc ăn uống hàng ngày của bạn sẽ giảm.
- Gia tăng áp lực lên răng hàm: Khi muốn cắn thực phẩm thì bạn phải dùng răng nanh hoặc răng hàm. Việc này làm gia tăng áp lực ăn nhai cho những răng này trên cung hàm. Tình trạng này kéo dài còn khiến chúng bị mòn men răng, tình trạng mỏi cơ hàm xuất hiện.

- Vệ sinh răng miệng khó khăn: Khi răng trên cung hàm không thẳng hàng với nhau thì việc vệ sinh răng miệng hàng ngày cần tỉ mỉ và lâu hơn mới có thể làm sạch được hết các răng
- Gây ra các bệnh lý: Khi răng cửa mọc nghiêng thì sẽ tạo nên những khe hở, góc khuất khiến cho vi khuẩn, thức ăn bám lại đó. Nếu không vệ sinh sạch sẽ thì các bệnh lý như sâu răng, viêm nướu hình thành nhanh chóng.
- Gây hôi miệng: Vi khuẩn, thức ăn không được vệ sinh tốt sẽ gây nên tình trạng hôi miệng
Khi thấy tình trạng răng cửa bị nghiêng thì bạn nên đến ngay nha khoa để điều trị, như vậy mới không để lại những hậu quả đáng tiếc xảy ra.
Nguyên nhân khiến răng cửa mọc nghiêng
Theo Tiến sĩ, Bác sĩ Đàm Ngọc Trâm – Giám đốc chuyên môn với hơn 30 năm kinh nghiệm tại nha khoa Paris cho biết: Tình trạng răng cửa bị nghiêng do rất nhiều nguyên nhân cả về chủ quan và khách quan. Chúng được tổng hợp thành những lý do sau đây:
- Do bẩm sinh, di truyền: Răng là một trong những bộ phận được di truyền từ bố mẹ, ông bà người thân trong gia đình lên tới 73%. Nên khi bố mẹ có tình trạng răng mọc nghiêng thì rất có khả năng khi sinh con cũng gặp tình trạng tương tự
- Do những thói quen xấu khi nhỏ: Những thói quen xấu khi nhỏ cũng có ảnh hưởng rất lớn sa khi mọc răng vĩnh viễn của trẻ. Vì vậy bố mẹ nên chú ý đến những thói quen của bé như mút tay, ngậm ti giả, chống cằm, mút môi, đẩy lưỡi hay nghiến răng…
- Do cung hàm quá nhỏ: Cung hàm quá nhỏ không đủ chỗ cho các răng cửa mọc thẳng hàng khiến chúng bị chen lấn và phải mọc nghiêng

- Chế độ dinh dưỡng hàng ngày không đủ khiến cho răng bị mọc chen chúc làm răng cửa mọc nghiêng
- Do mất răng: Răng cửa bị mọc nghiêng vào trong hoặc sang trái, sang phải do một răng trên cung hàm bị mất khiến cho các răng còn lại bị xô lệch để lấp đầy khoảng trống mà chiếc răng đã mất để lại
- Do thời gian thay răng sữa của bé quá sớm hoặc quá muộn cũng khiến răng cửa bị nghiêng.
Trên đây là 6 nguyên nhân chính dẫn đến tình trạng răng cửa bị lệch. Vì vậy khi phát hiện ra răng của mình không đều thì bạn nên đến ngay nha khoa để có phương pháp điều trị phù hợp.
Cách chỉnh răng cửa bị nghiêng, lệch hiệu quả
Răng cửa bị nghiêng để lại nhiều hậu quả nghiêm trọng nhưng bạn đừng quá lo lắng. Với sự phát triển hiện nay của nền nha khoa thì có rất nhiều cách để điều trị hoàn toàn tình trạng này. Nhưng để tốt nhất thì bạn nên thực hiện phương pháp niềng răng. Vì chúng có những ưu điểm như:
- Răng đều đặn, là răng thật, tự nhiên của bản thân
- Răng có thể sử dụng lâu dài
- Không ảnh hưởng đến răng như mòn men răng, yếu, lung lay hay mài răng như bọc sứ
Với phương pháp này bạn có thể niềng răng tại nhà hoặc niềng răng tại nha khoa.

Chỉnh răng cửa nghiêng tại nhà
Chỉnh răng cửa bị nghiêng tại nhà bằng phương pháp niềng răng khay trong hoặc niềng hàm tháo lắp. Với những dụng cụ là những máng niềng được làm bằng nhựa nha khoa chuyên dụng. Chúng được thiết kế sát khít với răng để di chuyển răng đến đúng vị trí mong muốn.
Với những dụng cụ niềng răng này tại nhà bạn sẽ không cần đến nha khoa nhiều lần mà vẫn có kết quả như ý muốn. Nhưng phương pháp này chỉ phù hợp khi bạn có mức độ răng cửa bị nghiêng nhẹ và các răng khác trên cung hàm đều mọc đúng vị trí.
Với những người răng cửa vừa bị nghiêng vừa lộn xộn các răng khác trên cung hàm thì nên đến nha khoa và áp dụng phương pháp niềng khác để đạt hiệu quả tốt nhất.

Giải pháp tại nha khoa
Khi không thể sử dụng phương pháp chỉnh nha tại nhà thì có nghĩa tình trạng răng cửa bị nghiêng của bạn đang bị nghiêng nghiêm trọng. Lúc này bạn cần phải niềng bằng các dụng cụ mắc cài mới đạt được kết quả tốt nhất.
Các loại mắc cài bạn có thể sử dụng khi đến nha khoa đó là
- Niềng răng mắc cài kim loại: Độ thẩm mỹ không cao, chi phí khoảng từ 30 – 14 triệu cho 1 liệu trình
- Niềng răng mắc cài sứ: Độ thẩm mỹ cao, chi phí 40 triệu
- Niềng răng mắc cài tự buộc: độ thẩm mỹ phụ thuộc vào bạn lựa chọn mắc cài sứ hay kim loại. Lực kéo ổn định, không có tình trạng bong, bật mắc cài như các loại thường. Vì vậy mà chi phí của nó cũng cao hơn trong khoảng từ 40 – 55 triệu
- Niềng răng mặt trong: Độ thẩm mỹ của phương pháp này là cao nhất trong các dụng cụ niềng răng mắc cài. Nên chi phí của nó cũng khá cao từ 80 – 120 triệu

Với phương pháp này bạn cần ít nhất mỗi tháng đến nha khoa 1 lần để điều chỉnh lực kéo của dây cung và các bác sĩ tiến hành vệ sinh răng miệng cho bạn.
Mỗi một loại mắc cài sẽ có chi phí khác nhau tùy thuộc vào tình trạng răng miệng và loại mắc cài mà bạn lựa chọn. Khi đến với nha khoa Paris các bác sĩ sẽ tiến hành thăm khám, lắng nghe ý muốn của bệnh nhân và tư vấn cho bệnh nhân loại mắc cài phù hợp với bản thân.
Đội ngũ bác sĩ với hơn 20 năm kinh nghiệm đã niềng răng thành công cho hàng nghìn khách hàng mỗi năm sẽ trực tiếp tư vấn, lên phác đồ điều trị và gắn mắc cài cho bệnh nhân.

Không như các nha khoa khác thường hay để cho các phụ tá làm những công việc như vệ sinh răng miệng, gắn mắc cài cho bệnh nhân. Tại nha khoa của chúng tôi tất cả những vấn đề này đều được chính tay các bác sĩ làm.
Công nghệ tại nha khoa Paris cũng sẽ làm bạn thêm yêu tâm. Vì lấy dấu Scan bằng công nghệ 3D sẽ cho bạn biết trước được kết quả niềng sau thời gian 7 ngày. Và công nghệ mới niềng răng 3D Speed sẽ cho bạn rút ngắn thời gian niềng từ 3 – 6 tháng so với công nghệ cũ.

Với những thông tin về răng cửa bị nghiêng ở trên chắc hẳn bạn đã có được cho mình phương pháp điều trị tốt nhất cho răng miệng của mình. Nếu vẫn băn khoăn không biết phải làm sao với tình trạng răng của mình thì hãy đến ngay nha khoa Paris hoặc gọi đến tổng đài 19006900 để được giải đáp nhanh và miễn phí ngay hôm nay.
Ý kiến bạn đọc (0)