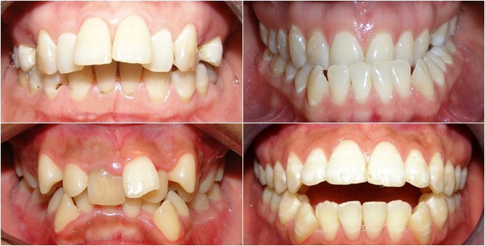
Câu hỏi: Chào bác sỹ Paris! Mong bác sỹ tư vấn giúp niềng 2 răng cửa bị lệch thì bao lâu sẽ đạt được hiệu quả ạ? Em có 2 chiếc răng cửa bị lệch vênh ra khỏi hàm, các răng còn lại thì bình thường. (Trịnh Hoài An – Nam Định)
Niềng 2 răng cửa bị lệch bao lâu thì hiệu quả?
Để niềng 2 răng cửa bị lệch có thể dùng khí cụ tháo lắp hoặc dùng mắc cài đều được vì các răng khác của bạn hoàn toàn bình thường.
Tuy nhiên, hướng điều trị cụ thể và thời gian mất bao lâu còn tùy thuộc vào mức độ vênh lệch của răng như thế nào, nặng hay nhẹ.

Quá trình thực hiện để niềng hai chiếc răng cửa bị lệch nhau mất bao lâu?
Ngoài ra, tốc độ di chuyển của răng cửa lệch còn phụ thuộc vào đặc điểm của xương hàm. Vì thế, qua tư vấn gián tiếp như thế này sẽ rất khó để khẳng định chính xác niềng 2 răng cửa bị lệch cho bạn sẽ mất bao nhiêu thời gian.
Muốn biết chính xác được thời gian niểng 2 răng cửa bị lệch bao lâu thì hiệu quả, tốt nhất bạn nên đến trực tiếp Trung tâm để được bác sỹ thăm khám và tư vấn chính xác nhất.
Thông thường sẽ khoảng từ 6 tháng – 1 năm. Mức dao động sẽ xoay quanh khoảng này.
Việc bạn không bọc răng sứ mà niềng răng cũng rất tốt vì niềng răng không tổn hại tới răng thật trong khi bọc răng sứ thì phải mài răng, không bảo toàn được răng nguyên vẹn.

Khi điều trị, bạn sẽ được dùng khí cụ tháo lắp hoặc mắc cài. Nếu bạn thấy bất tiện với khí cụ tháo lắp thì nên dùng mắc cài sẽ tốt hơn.
Bác sỹ sẽ niềng 2 răng cửa bị lệch cho bạn bằng công nghệ niềng răng mắc cài 3D Speed hiện đại do các chuyên gia chỉnh nha hàng đầu thuộc Bệnh viện Răng hàm mặt danh tiếng Forsyth – Hoa Kỳ sáng chế thành công với các ưu điểm vượt trội sau đây:
- Giúp dịch chuyển răng đều đặn, thẳng hàng, thẩm mỹ và hài hòa,
- Cho hiệu quả chỉnh nha đảm bảo đúng lộ trình dự liệu của bác sỹ trong phác đồ điều trị, không sai khác,
- Công nghệ đảm bảo không đau không gây ma sát lớn, không bị bung tuột mắc cài trong khi đeo trên răng nên tiết kiệm được tối đa thời gian điều trị,
- Kỹ thuật không làm tổn hại xương hàm và răng. Cả răng và xương đều thích ứng tốt và ổn định trong cũng như sau điều trị.

Đây là công nghệ mà Nha khoa Paris đã mất nhiều công sức, trải qua nhiều kiểm định khắt khe mới được các chuyên gia Forsyth tin tưởng chuyển giao độc quyền.
Quá trình ứng dụng thực tế công nghệ đang cho thấy những hiệu quả đạt được rất khả quan, đem lại những ca chỉnh răng thành công cho nhiều bệnh nhân.
Bởi vậy, trường hợp niềng 2 răng cửa bị lệch như của bạn sẽ mất rất ít thời gian và chắc chắn sẽ đạt được hiệu quả thẩm mỹ rất cao.
Bạn vui lòng liên hệ vê Trung tâm theo thông tin dưới đây để được bác sỹ tư vấn chi tiết hơn những vấn để liên quan đến niềng 2 răng cửa bị lệch nhé! Cảm ơn bạn đã quan tâm đến dịch vụ!
Ý kiến bạn đọc (0)